西安新城中大耳鼻喉医院

西安中大耳鼻喉医院_西安耳鼻喉专科医院_西安耳鼻喉科医院

西安中大耳鼻喉医院_西安耳鼻喉专科医院_西安耳鼻喉科医院

029-87401000

乳突炎

返回 在线咨询
当前位置: 首页 > 耳部疾病 > 乳突炎 > 正文
“乳突有效治疗术”祛除中耳炎乳突炎,遏制听力下降

   乳突炎常继发于中耳炎,引起乳突粘膜充血及水肿,分泌物增多。继续发展可破坏气房间隔,甚至破坏乳突骨壁而向颅内、外穿破。乳突炎转为慢性后,乳突内充满肉芽和脓液,破坏骨质,刺激新骨增生,当鼓膜穿破后,外耳道上皮长入中耳及鼓窦,部分上皮坏死及变性后,形成胆脂瘤。
 

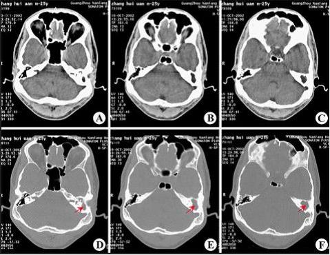
CT显示:左侧慢性中耳乳突炎(胆脂瘤型)
 

  目前,临床治疗推荐采用【】配合鼓室成形术治疗中耳炎乳突炎。“”是一种可以高效治疗中耳病灶和重建鼓室传音结构的手术。该手术是在显微镜下通过耳显微器械去除病变,同时修复鼓膜及重建听骨链,清除病灶,以达到提高听力的目的。与医生沟通中耳乳突炎病情,以确定好治疗方案。

    “”手术方法治疗中耳炎乳突炎

  一般步骤与传统相同,但根据病变程度不同有所变化。对于病变局限于上鼓室者,凿入鼓窦后可用小圆凿或电钻,由鼓窦入口外侧向前,除去上鼓室外侧壁至接近前壁为止,充分开放上鼓室,以小刮匙或细弯针将鼓窦入口外侧向前,除去上鼓室外侧壁至接近前壁为止,充分开放上鼓室,以小刮匙或细弯针将鼓窦入口及上鼓室病变组织或胆脂瘤完全清除。详细了解手术过程,可直接在线咨询…

  西安新城中大耳鼻喉医院的“”可更高效治疗中耳炎及并发症,修复听骨链,重建听力,并且对患者的伤害很小,该方法的诞生为耳病患者带来了健康的福音,解决了治疗中耳炎难治难消的顽疾,获得了众多治疗患者的高度好评。
 

    首席手术医生:

    美国明尼苏达中耳炎科研医生——张全安教授简介

  主要职务

  ★原耳鼻咽喉科主任

  ★

  ★美国明尼苏达中耳炎科研医生

  ★西安新城中大耳鼻喉医院耳科耳外科学科带头人


 
    与美国明尼苏达耳鼻咽喉头颈外科主任Adama教授合影 

  个人简历: 

  1967年毕业于,从事耳鼻咽喉科临床、科研和教学工作40余年,积累了丰富而全面的临床经验,期间担任西安耳鼻咽喉科主任,;发表中、英文论文50余篇;获省市一、二等科技进步奖多项。1993年以来,以高级访问学者身份多次赴美从事科研和学术交流长达5年多;其中参与美国明尼苏达中耳炎研究进行中耳炎病理研究,所提出的一系列中耳炎理论居世界前沿水平,国内领先地位。 

>相关文章

在线留言

地址:西安市新城区北新街3号(革命公园往西200米)

咨询热线:029-87401000

(节假日不休息)

网站备案号:陕ICP备16000275号

咨询热线:029—87401000一键通话

稍后再说立即回复2